Bagi sebahagian orang, lebih baik menahan kesakitan daripada berurusan dengan doktor gigi.Perkara itu pula yang dialami oleh Angie Barlow, 48, wanita berasal dari Altrincham, United Kingdom itu sangat takut pergi berjumpa ke doktor gigi .
Alih-alih mendapat rawatan perubatan, Angie justru melakukan tindakan ekstrem dengan nenampalkan superglu agar giginya yang rosak boleh merekat kembali. “Saya menampal sedikit superglu ke bahagian atas gigi, lalu menempatkannya kembali ke gusi, sehingga gigi saya tidak kelihatan bertaring,” kata Angie.
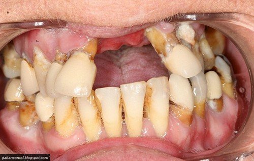
Yang mengejutkan, Angie sudah menampal giginya menggunakan superglu selama 10 tahun. Semula memang tak ada masalah, tetapi selepas satu dekad, semua gigi Angie mereput.
Cecair kimia dari superglu yang kuat itu malah membuat giginya semakin rapuh. Bahkan, struktur tulang pada rahangnya menjadi kendur. Tidak tahan dengan kesakitan yang menyiksa, Angie akhirnya nekad pergi ke doktor gigi. Nahas, doktor terbaik di United Kingdom pun tidak boleh menyelamatkan gigi Angie.
Akhirnya, doktor memutuskan mencabut semua gigi Angie yang masih tertinggal dan menggantikannya dengan memasang rangka titanium guna menampal gigi palsu. “Saya sangat takut pergi ke doktor gigi kerana ibu saya meninggal di usia 34 tahun akibat kanser tekak.
Gejalanya ditemui ketika giginya terlepas tiba-tiba. Saya tidak mahu itu berlaku pada saya,” ujar Angie. Nasib Angie masih berterusan. Kos pembedahan giginya sangat mahal sehingga membuat tabungan miliknya kering.
Dr Serpil Djemal, pemilik klinik gigi di Kings College Hospital menjelaskan jika keadaan gigi Angie sudah kronik. “Ini adalah kes yang paling teruk yang pernah saya lihat dan tangani. Anda tidak boleh begitu saja gam gigi kembali ke dalam mulut,” katanya.

